Orthodontics for Adults in West Valley City, UT
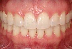
Adult orthodontics is becoming increasingly popular. Nationwide, about 20% of orthodontic patients are adults. This statistic holds true at our West Valley City orthodontics office as well. Adults often come to us looking for improved hygiene, improved bite, reduction of tooth wear, and even improved sleep in some cases. We can achieve all this, as well as a wider, fuller smile.
We find that our adult patients really enjoy changing the little things about their smile that have bothered them their whole life. We absolutely love our adult patients; not only do we get to have adult conversations with them, but also they are generally very excited and very appreciative for their treatment.
The artistic ability of Dr. Taylor and Dr. Mortensen is critical in obtaining an excellent orthodontic result in adults. Since adults are no longer growing, without surgery, we cannot change jaw relationships. Therefore, our orthodontists’ artistic eye and ability to position the teeth is incredibly important in order to create the most aesthetic and beautiful smile. While teeth move a little more slowly for adults, with good cooperation, we can always get an excellent result.
Granger Orthodontics provides adults with several cosmetic options:
- Clear braces: Clarity™ Advanced by 3M Unitek are incredibly aesthetic and function as well as or better than any other ceramic brace on the market.
- Invisalign® clear aligners: Invisalign uses clear plastic aligners (trays) to move the teeth. The aligners are custom-made for your teeth and are removable.
- Iconix® aesthetic braces: Iconix stainless steel champagne-colored brackets offer the durability of stainless steel and the aesthetics of white gold, especially when matched with gold wires and clear ligatures.
Here are a few differences between adult treatment and adolescent treatment:
1. Growth
Adults are not growing; therefore, certain elements of treatment are limited. For example, if a child has significant overjet (horizontal overbite), we modify growth to correct the overbite as in the pictures shown. With adults, sometimes removing teeth (extractions) or jaw surgery is required to correct horizontal overlap (or overjet) fully. If the patient prefers to leave the overlap and just straighten his or her teeth, which is also an option.
2. Response of periodontal tissues (gums and bone)
Adult gums and bone respond differently from the way they do in adolescents. Adult periodontal tissues cannot be stressed as much or they may begin to dissolve or recede.
3. Jaw development (expansion)
If kids’ jaws are too narrow, we can use an expander to widen the jaws significantly and broaden the smile. Adult bones are fused together and don't allow for the same amount of manipulation. We can still broaden the arches with some archwire expansion, but there are more limitations.
4. Speed
The gums and bones of adults are more stable and stubborn, so teeth usually move at a slower pace. Teeth move when certain cells eat away bone and other cells deposit bone. In adolescents, this process is constantly happening while they are growing, so teeth respond more quickly. In adults, initiating this process takes longer and the cells that change the bone tend to work more slowly.
5. Discomfort
Adult treatment generally is a little more uncomfortable than adolescent treatment. Instead of initial soreness for two or three days, adults may experience soreness for about a week as the teeth begin to move. Like adolescents, however, once the teeth begin moving, the discomfort subsides.
6. Retainers
Teeth are like anything else on our bodies; as we get older, they tend to change. Most people’s bottom teeth especially will tend to crowd. Wearing a retainer is an important part of keeping anyone’s teeth straight. Because adult teeth are more stubborn, they are more prone to relapse (moving back), so wearing a retainer after treatment is even more important for adults.
We use several different types of retainers depending on your needs. Dr. Taylor and Dr. Mortensen will discuss the pros and cons of different retainers toward the end of your treatment.





Website Powered by Sesame 24-7™